Sokan lapos lábakkal élnek, anélkül, hogy ehhez bármilyen jelentőséget tulajdonítanának. Valójában azonban a test ezen részének alakjában bekövetkező változások, amelyek valójában a támogatása, komoly jele annak, hogy el kell gondolni a saját egészségére, és alkalmaznia kell néhány intézkedést a probléma kiküszöbölésére.
Mi az

A lábak Valgus deformációja a végtag alsó részének specifikus patológiája, amely a megfelelő funkcionális helyzet megsértését jelenti. Ennek a betegségnek a fő jelei a lábtengely megsértése, valamint annak magasságának csökkenése. A patológia miatt a láb minden eleme rossz helyzetben van. Ez vonatkozik, beleértve a sarkot és az ujjak falát. Emiatt maga a láb X-szerű megjelenést kap.
A tizedik felülvizsgálat betegségeinek nemzetközi besorolása szerint a lábak valgus deformációja a csont izomrendszer és a kötőszövet, az artropathia csoport betegségének osztályába tartozik.
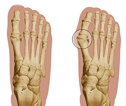
A láb hüvelykujjának valgus deformációja az első ujj phalanx helyes helyzetének megváltozása, amelynek eredményeként kifelé hajlik. Ennek oka az a tény, hogy az első és a második metatarsális csontok közötti szög növekszik.
A beteg kezdeti ellenőrzését a láb deformációinak problémáival egy képesített ortopédiai traumatológusnak kell végeznie. Bizonyos esetekben a beteget a jövőben más kapcsolódó szakemberekre irányíthatja, de általában kizárólag e patológiák problémái.
Okok
Van egy meglehetősen kiterjedt lista azokról a különféle okokról, amelyek miatt a lábak felnőttkori deforációja előfordulhat. Közülük a szakértők kiemelik a legnépszerűbb lehetőségeket:
- Helytelenül kiválasztott cipő vagy talpbetétbe (helytelenül kiválasztott méret vagy a cipő túl keskeny része);
- hosszú és gyakori tartózkodás cipőben vagy magas keletű csizmában (néhány ember számára 4 cm már meglehetősen magas sarok);
- A láb néhány sérülése (beleértve az első ujjfalak szubluxációját);
- köszvény (a betegséget a húgysav felhalmozódása kíséri a test szöveteiben, ami azok deformációihoz vezet);
- Az inak gyengülése (veleszületett vagy megszerzett);
- genetikai hajlam;
- túlzott testtömeg (a súly további terhelést eredményez a lábán);
- hormonális hibák (amelyek gyakran jellemzőek a nők menopauza periódusára);
- terhesség és gyermek hordozása (ez a folyamat nagyon nagy terhelést eredményez az emberi izom -csontrendszeri rendszerre);
- Lapos lábak (különböző súlyosság és formák).
A lábak Valgus deformációjának néhány okát nem lehet kiküszöbölni, míg mások kijavítják, ezért mindig meg kell kezdeni a kezelést.
Az okok okait ebben a kis videóban mutatjuk be.
Típusok és fokok
A traumatológusok meghatározzák a lábak sokféle típusú deformációját felnőtteknél, amelyek közvetlenül a betegség kialakulásának okától függnek. A következő közös formák megkülönböztethetők:
- statikus;
- kompenzáló;
- paralitikus;
- görcsös;
- hiper -korrekciós;
- Angolkóros;
- traumatikus stb.

Sőt, a lábak valgus deformációjának három fő foka van. Mindegyiknek megvan a saját megkülönböztető klinikai tulajdonsága és egyéni jellemzői, amelyek alapján a szakemberek meghatározzák őket:
- Az I. fokozatot az a tény jellemzi, hogy a metatarsális csontok sarkában bekövetkező közös változások. Ugyanakkor a Sesam alakú ligamentumok mobilok. Egy ilyen klinikai kép miatt a láb subluxációja megtörténik. Az ujj a tengelytől mindössze 15 fokig tér el.
- A II. Fokozat különbözik abban, hogy a lábak inak továbbra is eltolódnak az első hüvelykujj csatlakozásaival együtt. Az ujj 15-20 fokig tér el.
- III. A betegség foka ahhoz a tényhez vezet, hogy a csontok és a kötőszövetek nagyon sebezhetőek és gyengék. Nem fognak megbirkózni a rájuk lévő terheléssel. Ugyanakkor az ujj 20-30 fokkal eltér a láb tengelyétől.
- A IV. Fokozat a láb típusának megváltoztatásának utolsó szakasza, amikor a deformáció jelentős mértékben eléri a súlyos következményeket. Az ujj 30 foknál nagyobb szöggel eltér a normától.
A betegség kialakulásának mértékétől függően a megfelelő tünetek megnyilvánulnak. Eleinte jelentéktelenek, de az idő múlásával nagyon komoly problémákat okoznak a beteg számára.
Tünetek
A láb deformációjának tünetei meglehetősen kellemetlenek, ami annak a ténynek köszönhető, hogy az ember folyamatosan kellemetlen érzéseket érez. Rájuk kívül a fájdalom szindróma megnyilvánulhat. Az orvosok megkülönböztetik a patológiát jellemző tünetek következő listáját:
- Fájdalmas érzések, ha még nagy minőségű és első pillantásra kényelmes cipőt viselnek;
- A láb hosszának megváltoztatása, ami nehézségekhez vezet a szokásos méretű cipők kiválasztásában;
- fájdalom a lábakban terhelés után és a nap végén;
- a láb első és második phalanxjának deformációja;
- a fájdalmas kukoricák előfordulása a láb első ujján;
- a vérkeringés és a láb táplálkozásának romlása;
- Az ízületi fejlődés.
A láb deformáció tüneteinek előfordulásának egy beteg személy fellebbezéséhez kell vezetni az orvosi intézményhez képzett segítségért, diagnosztizálás és a kezelés meghatározása formájában.
Diagnosztika
Lehetetlen kezelni a lábak sík valgusz deformációját anélkül, hogy egy személy alsó végtagjainak megfelelő átfogó vizsgálata lenne. Ez nem adja meg a megfelelő eredményt, és egyes esetekben a helyzet romlásához vezethet.
A traumatológus ortopédikusok által alkalmazott fő instrumentális diagnosztikai módszer a radiográfia. A betegnek három különböző előrejelzéssel kell megállítania egy x -sugárzást.
A radiográfia alapján meghatározható a betegség fejlődésének mértéke, valamint a kapcsolódó patológiák, ha van ilyen. Az életet a kiszámított planográfia is ajánlhatja - egy diagnosztikai módszer, amely lehetővé teszi a meglévő lábdegormációk néhány fő paraméterének meghatározását. Fontos, hogy kizárjuk a cisztákat, az aszeptikus nekrózist, a periosteum gyulladást a szövődményekből. A radiográfiai tanulmány kapott adatai alapján az ortopédiai traumatológusnak meg kell határoznia az optimális módszert a láb deformációjának problémájának kiküszöbölésére a betegben.

Kezelés
A lábak völgyi deformációjának első szakaszai felnőtteknél jól alkalmazzák az ortopédia egyszerű eszközeinek kezelését. Mindenekelőtt ez vonatkozik az ortopédiai talpbetétekre a cipőben. Beállítják a lábát, így a megfelelő helyzetet adják. Felhasználhatók speciális felügyelőkkel. Egy másik kiegészítés az ujjak speciális helyesbeje, valamint a láb további esztregései. A legjobb, ha egy adott személy számára egyénileg létrehozott cipőt vásárol, amely klinikai képe alapján kijavítja a láb deformációját a legjobban és helyesen. A láb deformációjának harmadik fokát teljesen lehetetlen teljes mértékben kijavítani műtét nélkül, de a módszerek teljes skálájának felhasználásával jó eredményt lehet elérni. Leggyakrabban ilyen esetekben a speciális masszázsokat és a kézi terápiát is ajánljuk. A kurzus csak tíz ülésré válik, amelyeket néhány havonta meg kell ismételni.
Ezenkívül azt figyelembe kell venni:
- A fizioterápiás módszereket nem alkalmazzák a lábak valgus deformációjának kezelésére. Minimalizálják a tünetek súlyosságát.
- A gyulladásos folyamat és az erős fájdalom szindróma jelenléte esetén, amely a gyaloglás lehetetlenségéhez vezet, az orvos érzéstelenítő és gyulladásgátló gyógyszereket írhat fel egy személy számára, mind a helyi használatra, mind a szisztémás.
- A lábak valgus deformációjának kiküszöbölésére szolgáló műtéti beavatkozást súlyos esetekben végezzük, a betegség hosszabb ideig tartó elhanyagolásával, amely elérte az utolsó fejlődést. A művelet a láb deformált csontjainak megfelelő helyére és a csapok segítségével történő rögzítéséből áll.
- A korábbi szakaszokban a sebészek egy kis -traumás beavatkozást végezhetnek, amely nem jelent gipsz- vagy fémszerkezetet. Ebben az esetben a csontok közötti szöget csak úgy állítják be, hogy a terhelés megfelelően eloszlik. Ezt követően a terápiás más módszerek a legjobb eredményt adják.
Otthoni kezelés
Az orvosok gyakran néhány gimnasztikai gyakorlatot javasolnak otthoni betegeiknek. Ezek lehetnek az egyik kezelési módszer és megelőző szer, amely megakadályozza a betegség előfordulását.
A torna olyan gyakorlatokból áll, amelyekre nincs szükség jelentős előkészítésre:
- A betegnek a hátán kell feküdnie. Ezután szimulálnia kell egy kerékpárútot, felváltva húzza meg az egyes lábak zoknit, és visszatér a lábához. Ismételje meg az ilyen műveleteket 8-10-szer.
- Az embernek ülnie kell a padlón, kiegyenesítve a lábát, és kezével önmagában pihen. Az alsó végtagokat meg kell hajlítani, és a boka területén nem kell meghajolni. Ismételje meg az ilyen műveleteket az egyik lábon 10 -szer.
- Az előző helyzetben erősen el kell terjesztenie a lábujjait különböző irányokba, és néhány másodpercig rögzítse őket ebben a helyzetben. Ismételje meg, hogy ez a gyakorlat szokásos számú alkalommal.
- Egy olyan helyzetben, hogy a padlón ülve, a lábakkal előre, nyomja meg, és meg kell tisztáznia az ujjait. Ismételje meg, hogy a gyakorlatnak hatszor kell lennie.
- A széken ülve az alsó végtagok ujjait fokozatosan ki kell rendezni, hogy a lábak a padlón mozoghassanak. Ismételje meg az ilyen "hernyó" 8 -szor.
- Ülve egy széken, toll vagy ceruzát tartva a láb ujja között, körkörös mozgásokat kell előállítani vele. Többször is meg kell változtatni a kiválasztott dolog helyét egy másikra.
- A láb különböző részein kell járni - a zokni, az oldalsó felületeken és a lábakon. Az első esetben a kezeket a második és a harmadik helyen kell felvetni - az övön.
Időnként sétálhat a komplexumon kívül, térdét magasra emelve, kezét előtted tartva. Időnként nyújthatja a lábát is, ezáltal széttöredezheti őket. Ezzel a kis videóval együtt gyakorlatokat is végezhet.

Felnőttkori megelőzés
Mindenekelőtt, mint a lábak deformációjának megelőző mértékét, rendszeresen kell megfigyelni egy ortopédiai traumatológusban. Ez az orvos gyanítható a betegség kialakulásáról, és korai szakaszban megakadályozhatja:
- Az orvos látogatása olyan módszer, amely magában foglalja a betegség kimutatását. Annak érdekében, hogy a betegség sem fejlődjön ki, csak a magas színvonalú és kényelmes cipővel kell kezdeni, hogy elkezdje a kiválasztást, amelyek helyesen illeszkednek az ember lábának szerkezete alatt. A legjobb, ha csizmát és cipőt vásárol, sarok és éles zokni, természetes anyagok kiválasztása.
- A cipőben lévő ortopédiai talpbetétek jelentősen csökkenthetik a láb deformációinak kockázatát. Ezeket speciális gyógyszertárban vagy orvosi intézményekben kell vásárolni.
- A munkaerő -tevékenység és a munka terve. Különösen olyan emberekről beszélünk, akik szakmai kötelességeik miatt kénytelenek lenni a lábukra. Az alsó végtagoknak rendszeresen pihenniük és pihenniük.
- Az alsó láb és a láb állandó terhelése az izom -csontrendszer különféle betegségeinek kialakulásához vezethet, és súlyosbítja a meglévő betegségeket. Ebben a cikkben megtudhatja, hogyan lehet kiválasztani a felnőttek számára megfelelő ortopédiai talpbetéteket.
A láb deformációjának súlyos tüneteinek első megnyilvánulásainál a képzett szakemberekhez kell fordulni, mivel ez a betegség súlyos következményekkel járhat. Ha időben elvégzi a diagnosztikát, akkor a kezelés kevésbé invazív és nem olyan súlyos lehet, így a tétovázás ilyen esetekben szigorúan tilos. A modern orvostudomány különböző módon javíthatja a hibákat, és egy adott klinikai helyzetben a lehető legoptimálisabbat választja.
A lábbal a valgus deformációja az emberiség egyik legkényelmetes és fájdalmasabb problémája. Az emberek évek óta megpróbálták legyőzni ezt a betegséget, és megtalálni a kezelésének egyetemes módját. Az esztétikai probléma mellett az ember fájdalmát tapasztalja a lábakban, nehezen választja ki a számára kényelmes cipőt, és a gyaloglás folyamatában aggódik a fájdalmas érzések miatt.
Mi a lába Valgus deformációja?

Tudományos szempontból ez a lábak növekedésének kialakulása, vagy inkább a hüvelykujj alján. Az idő múlásával egy ilyen jelenség fájdalommal kezd „kézben menni”, és megakadályozza az ember normál mozgását. Mint sok éves gyakorlat azt mutatja, a betegség „meglepő módon” találja meg, főleg a gyengébb szexben
E patológia esetén az emberi test olyan struktúrái ::
- inak;
- Csontok;
- Ligamentumok;
- Ízületek.
Meg kell jegyezni, hogy a lábon kapott görbület nem az egyetlen probléma, amellyel az embernek szembesülnie kell.
Mindezen problémákon kívül valószínűleg olyan betegségek kialakulása, mint például:
- krónikus bursitis;
- A jobb és a csont belső eltolódása;
- az ízületi deformáló;
- A keresztirányú vagy kombinált természetű lapos lábak.
A láb deformálását anomáliával örökölheti, és a kezelés rendkívül nehéz. Az orvostudomány azonban képes a beteg konzervatív módszereit kínálni a probléma kiküszöbölésére, és pozitív eredmények hiányában a műtéti beavatkozásokat meglehetősen sikeresen hajtják végre.























